本サイトの内容は、医療および研究の専門知識を有する方々を対象としています。一般の方々のご利用はご遠慮ください。


シンプルだからこそ使いやすい

マウス用挫滅損傷作製装置



Mass Drop法を用いた挫滅損傷モデル(contusion model)を作製できる装置です。対象とする組織に合わせてインパクターの先端直径を選択することが可能です。これによって確実に狙った場所に挫滅損傷を作製することができます。穴付きおもりに紐をつけて使用することで、高さ調整が可能です。使用方法がシンプルなので、挫滅損傷モデルの再現性も高く、幅広いユーザーにご利用いただけます。


インパクター・おもり(付属品)


インパクター
先端直径5mm

インパクター
先端直径8mm

インパクター
先端直径10mm

穴付きおもり


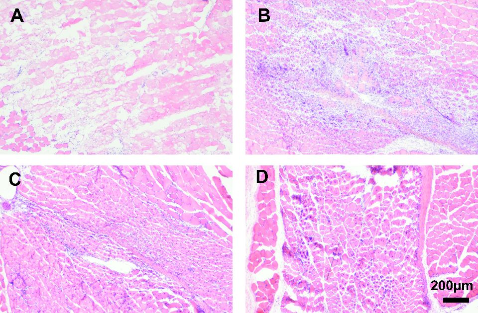
本装置を用いてマウス腓腹筋に挫滅損傷を作製した。図は挫滅損傷後2日後(A)、7日後(B)、14日後(C)、21日後(D)のヘマトキシリン・エオジン染色像である。※常葉大学縣先生提供画像


商品コード 型式 品名
69712000 iMCM マウス用挫滅損傷作製装置




このページの商品のお問合せ

Please wait...

このページの商品のお問合せ 販売店(代理店)様用


〈販売店(代理店)情報〉

〈お客様(エンドユーザー)情報〉
Please wait...
商品リスト